Home
About Us
Diagnosis
Quality
Services
Events / Gallery
Online Appointment
Contact
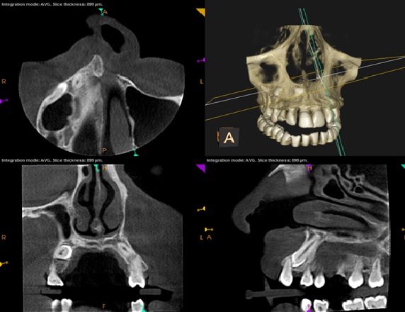
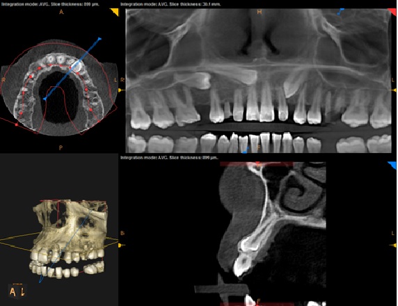
OUR SERVICES - ORTHODONTICS
• Low-dose CBCT complements 2D panoramic/cephalometric imaging
• Analyze skeletal symmetry and plan orthogenetic surgical treatment
• Assess TMJ and occlusion
• Analyze upper airways
• Plan placement of temporary anchorage devices
Menu
2D - Orthopantomograph Panoranic
TMJ
CBCT (CONE BEAM COMPUTED TOMOGRAPHY)
Implant
Maxillofacial
Endodontic
Orthodontics
3D Software
Others Cases
Copyright- 2019
Defence Diagnostic Laboratory